Fale Comigo
Whatsapp

Imagens

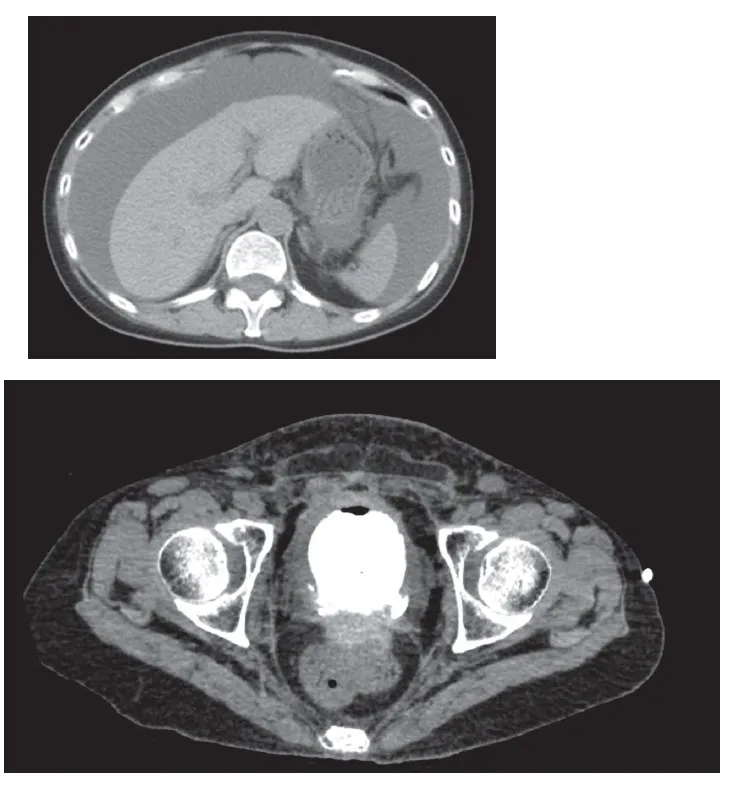
Pseudo-IRA em uma paciente com Ascite

Valkercyo Feitosa

2024-09-11

Recomendação de posts Nefroupdates