Caso clínico disponível no Kidney 360 ([link](https://journals.lww.com/kidney360/fulltext/2024/06000/an_unusual_contrast_computed_tomography_scan.21.aspx))
Um paciente de 56 anos foi submetido a uma esofagectomia toracoscópica para tratamento câncer de esôfago.
Antes e após a realização da cirurgia, a função renal do paciente era normal, com níveis de Cr sérica em torno de 0,8 mg/dl. Após a cirurgia foi tratado com quimioterapia, recebendo 14 ciclos de 480 mg de nivolumabe, um inibidor de checkpoint, a cada quatro semanas. Após oito meses, os níveis de Cr aumentaram para 1,14 mg/dl.
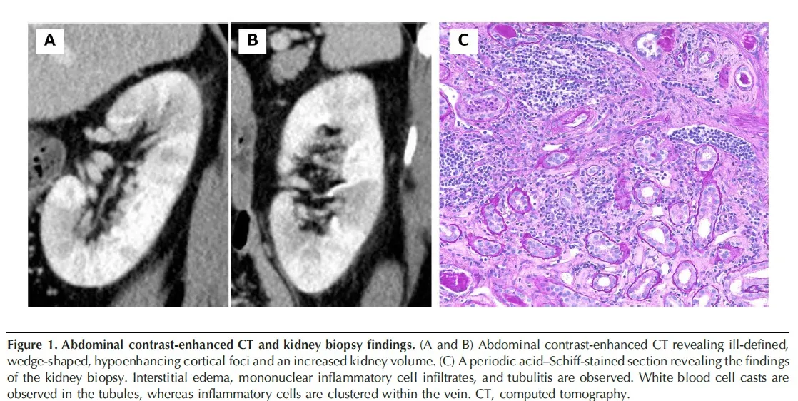
Uma tomografia computadorizada (TC) contrastada revelou focos corticais hipoatenuantes mal definidos e um aumento do volume renal (imagem abaixo).
Poucos dias após, o paciente evolui com febre, mas sem sintomas de cistite ou dor lombar. Foi administrado
empiricamente levofloxacino oral para uma provável infecção do trato urinário, mas não foi identificado patógenos em urocultura. A febre recorreu e o nivolumabe foi descontinuado, porém não foi observado melhora nos níveis de Cr.
Devido os níveis persistentemente elevados de Cr, mesmo após 3 meses da descontinuação do inibidor de checkpoint, o paciente foi internado para realização de biópsia renal. A avaliação urinária não identificou proteinúria, hematúria e piúria estéril, mas a microglobulina urinária β-2 aumentou para 3667 mg/L. A biópsia renal revelou nefrite tubulointersticial aguda. O tratamento com prednisolona foi iniciado para IRA relacionada ao inibidor de checkpoint, e os níveis de Cr diminuíram progressivamente para 1,53 mg/dl em seis meses.

Aprendizado com o caso:
Os inibidores de checkpoint são amplamente utilizados no tratamento de vários cânceres, diversos eventos
adversos imunes são conhecidos, sendo a NIA a principal forma quando ocorre acometimento renal. A biópsia renal é essencial para identificar a IRA relacionada ao inibidor de checkpoint e deve ser sempre considerada em pacientes que desenvolvem IRA estágio 2 ou 3, ou IRA estágio 1 persistente ou progressivo.
Para não esquecer:
1. A nefrite tubulointersticial aguda o evento adverso mais comum no rins dos pacientes tratados com inibidores
de checkpoint
2. A TC com contraste pode revelar áreas de baixa densidade nos rins
3. O acometimento renal pode se manifestar até um ano após o início do tratamento com inibidores de checkpoint.
Opinião Nefroatual:
Para nefrologistas, é crucial reconhecer e diagnosticar prontamente a IRA associada a inibidores de checkpoint. A identificação e o tratamento precoce, incluindo a consideração de biópsia renal e terapia com corticosteroides, podem melhorar significativamente os resultados clínicos e a qualidade de vida dos pacientes.