Fale Comigo
Whatsapp

O que não podemos esquecer na cistite recorrente!

Luís Sette

2024-02-06

Recomendação de posts Nefroupdates

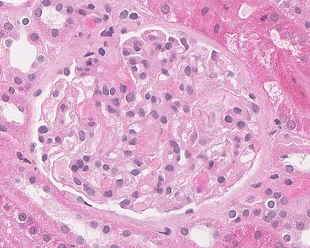
Amiloidose renal: aspectos sobre patogenia, diagnóstico e proteomica

Este vídeo apresenta, de forma didática e baseada em evidências, os principais achados da tese de doutorado sobre amiloidose renal, com foco em proteômica glomerular e ativação do complemento. São discutidos aspectos diagnósticos, implicações fisiopatológicas e correlações clínico-patológicas relevantes para a prática do nefrologista. O conteúdo sintetiza dados inéditos de matriz extracelular glomerular e diferencia perfis entre subtipos de amiloidose. Trata-se de um material aprofundado e acessível, ideal para atualização de especialistas na área.

Valkercyo Feitosa

4 meses atrás

Highlights ASN 2025: Novas Fronteiras em IgA, descontinuação de Hemodiálise e o uso do Ômega-3 nos dialíticos

No congresso ASN 2025 foram apresentadas terapias inovadoras para Nefropatia da IgA com destaque para ensaios fase 3, estratégias de diálise em pacientes com Insuficiência Renal Aguda (IRA) e o ensaio PISCES demonstrou que suplementação diária com óleo de peixe reduziu eventos cardiovasculares em hemodiálise. Prepare-se para um mergulho rápido nas mudanças de conduta que vêm por aí!

Luís Sette

4 meses atrás

Nova Era no Tratamento das Glomerulopatias Autoimunes: Combinações que Mudam o Jogo

Nova Era no Tratamento das Glomerulopatias Autoimunes: Combinações que Mudam o Jogo Os avanços recentes no manejo das glomerulopatias autoimunes têm transformado a prática clínica. O foco atual vai além da imunossupressão isolada: estratégias combinadas, que aliam terapias-alvo, imunomodulação seletiva e controle rigoroso de fatores de progressão, estão redefinindo prognósticos antes considerados limitados. Um olhar atualizado sobre como essas combinações estão mudando o jogo pode fazer a diferença no cuidado diário e na sobrevida renal a longo prazo.

Luís Sette

7 meses atrás