Apresentamos um caso bastante interessante da sessão Kidney Biopsy Teaching Case do AJKD ([link](https://www.ajkd.org/article/S0272-6386(15)00429-1/fulltext))
O paciente em questão é do sexo masculino, tem 63 anos e foi submetido a um transplante cardíaco devido a cardiomiopatia isquêmica. Seu regime inicial de imunossupressão consistia em tacrolimo, micofenolato de mofetil (MMF) e prednisona. Pouco tempo depois, a prednisona foi interrompida devido a glaucoma, e a dosagem de MMF foi reduzida devido a leucopenia.
O paciente desenvolveu uma rejeição moderada (grau 1R) e, como resultado, a prednisona e o MMF foram reiniciados. No entanto, ao longo de três anos, o paciente apresentou uma redução progressiva da Taxa de Filtração Glomerular (TFGe), de 59 mL/min/1,73 m² para 29 mL/min/1,73 m².
Durante a investigação, foi identificada uma carga viral sérica de BK de 3.300.163 cópias/mL (6,52 log10). A citologia urinária revelou células uroteliais atípicas com alterações típicas de infecção por poliomavírus.
Como parte do manejo, a dosagem de MMF foi subsequentemente reduzida para 250 mg duas vezes ao dia, e a dosagem de tacrolimo foi ajustada para atingir um nível mínimo de 4 a 6 ng/mL. Uma biópsia renal foi realizada (ver Figura abaixo).

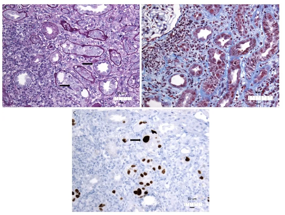
Figura 1. (A) Infiltrado linfocitário intersticial com lesões tubulares irregulares. Algumas células epiteliais tubulares mostram aumento nuclear e hipercromasia (setas) sugestivo de infecção por poliomavírus (vírus BK) (PAS; x3200). (B) Observa-se atrofia e fibrose intersticial significativa. A segmento do glomérulo preservado. (C) Coloração (imunoperoxidase) com anticorpo monoclonal para poliomavírus confirmando a presença do poliomavírus localizados nos núcleos.
Na avaliação histológica, foi observado um quadro florido de nefropatia pelo vírus BK, com inflamação crônica
proeminente na medula e envolvimento cortical leve e irregular. As alterações a longo prazo incluíram glomeruloesclerose global focal, fibrose leve a moderada, atrofia tubular e leve vasculopatia. O diagnóstico de nefropatia associada ao poliomavírus foi definitivamente estabelecido.
A imunossupressão foi novamente reduzida, ajustando o MMF para 250 mg duas vezes ao dia e o tacrolimus para um nível de 3 a 5 ng/mL. Devido à persistência da viremia por BK e à ausência de melhora na TFGe, o regime de tratamento do paciente foi alterado de tacrolimus para sirolimus. Além disso, o tratamento com ciprofloxacina foi iniciado, resultando em alguma melhoria inicial na carga viral do BK (para 10.120 cópias/mL [4,01 log10]) e na TFGe (de 19 a 25 mL/min/1,73 m²). O paciente também recebeu tratamento com imunoglobulina IV (100 mg/kg), no entanto, houve uma piora gradual na TFGe, e a necessidade de terapia dialítica surgiu após 2,3 anos da apresentação inicial.
O que aprendemos com este caso?
Em receptores de transplante cardíaco, a nefropatia pelo vírus poliomoma é uma causa significativa de disfunção renal pós-transplante, embora não tenha sido extensivamente estudada em receptores de outros transplantes de órgãos sólidos.
De uma forma geral, a prevalência de TFGe <30 mL/min/1,73 m² após 5 anos do transplante cardíaco é estimada em 11%. No entanto, a doença renal muitas vezes é atribuída ao diabetes, hipertensão, toxicidade crônica de inibidores de calcineurina ou alterações hemodinâmicas, e biópsias não são comumente realizadas.
Estudos pequenos, no entanto, demonstram uma taxa de viremia por BK vírus em torno de 7% em transplantados
cardíacos. Fatores de risco identificados incluem idade, sexo masculino, maior número de incompatibilidade HLA, mais episódios de rejeição e uso de corticosteroides.
O aspecto mais crucial da terapia para nefropatia pelo poliomoma é a redução da imunossupressão. Os níveis dos
inibidores da calcineurina devem ser individualizados; no entanto, é imperativo considerar o risco imunológico do paciente antes de modificar o esquema de imunossupressão.
Orientações, como a troca dos inibidores de calcineurina por um inibidor da mTOR, podem ajudar a reduzir a
replicação viral do BK. Outras estratégias incluem o uso de imunoglobulina intravenosa ou medicamentos com atividade antiviral, como a leflunomida.
Em resumo, a reativação do poliomavírus pode ocorrer nos rins nativos de receptores de outros transplantes
de órgãos sólidos e pode causar reduções substanciais na função renal. A nefropatia por poliomavírus deve ser considerada no diagnóstico diferencial ao avaliar a piora da função renal em transplantados de outros órgãos sólidos.