Clínica interesante de un caso recientemente publicado ([enlace](https://journals.lww.com/kidney360/Fulltext/2023/07000/Anuric_Acute_Kidney_Injury_in_a_Patient_with_Left.22.aspx)):
Una mujer de 48 años con antecedentes de hipertensión, EPOC y tabaquismo activo ingresó a la sala de emergencias con dolor agudo en el flanco derecho e IRA (Cr 1,7 mg/dl), presentando una PCR elevada y piuria, por lo que se le diagnosticó una infección del tracto urinario, se le administraron antibióticos y fue dada de alta el mismo día.
Una semana después, la paciente regresó con dolor agudo en el flanco izquierdo, pero sin síntomas urinarios. El examen físico fue normal, excepto por la elevación de la presión arterial. Las pruebas de sangre mostraron un empeoramiento de la función renal (Cr 6,9 mg/dl y Ur 141 mg/dl) y un aumento persistente de los marcadores inflamatorios (leucocitos 28.100/mm3, proteína C-reactiva 12,9 mg/dl). El análisis de orina reveló proteinuria, hemoglobina y leucocitos.
El diagnóstico fue de pielonefritis, y la paciente recibió antibióticos intravenosos. Sin embargo, durante la evaluación inicial, la paciente desarrolló anuria repentina.
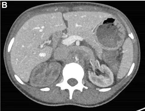
Se realizó una ecografía renal con Doppler que mostró ecogenicidad y tamaño renal normales, pero signos de oclusión aórtica en la emergencia de la arteria mesentérica superior, lo que fue confirmado por una tomografía computarizada con contraste (Figura 1).
La TC también reveló una importante circulación colateral en la pared abdominal, lo que permitía un suministro sanguíneo suficiente a las extremidades inferiores. Solo el riñón izquierdo mostró captación residual de contraste (Figura 1), lo que sugería un riñón derecho isquémico.
Se realizó una cirugía de emergencia con un bypass aortobifemoral y anastomosis de la arteria renal izquierda, asumiendo que el riñón izquierdo aún estaba viable. La paciente requirió hemodiálisis después de la cirugía.
Después del procedimiento, se observó un aumento en el volumen de orina y una recuperación gradual de la función renal después de 2 semanas de la cirugía. La ecografía Doppler de control mostró un flujo sanguíneo normal en el riñón izquierdo. La hemodiálisis se suspendió 27 días después de la cirugía, y tres meses después, la sCr era de 1,7 mg/dl.
 TC con contraste (reconstrucción 3D) mostrando oclusión aguda de la aorta justo superior a la arteria mesentérica. (A) Oclusión aórtica justo superior a la arteria mesentérica (marcada con un ⊗) junto con vasos colaterales en la pared abdominal (B) Riñón izquierdo con realce de contraste y riñón derecho sin realce, lo que sugiere falta de perfusión renal.

Discusión
La oclusión aórtica aguda (OAA) es una condición potencialmente mortal. La incidencia informada de la OAA es de 3,8 por un millón de personas-año, sin diferencias entre los sexos y con una alta tasa de mortalidad a los 30 días, que oscila entre el 21% y el 52%.
La presentación clínica de la OAA puede variar desde isquemia de las extremidades, paraplejia, isquemia visceral, lesión renal aguda e hipertensión refractaria. La principal causa de la OAA es la trombosis superpuesta en una aorta abdominal aterosclerótica. La ubicación más común de la OAA es infrarrenal (a diferencia del caso presentado).
En este caso, el desarrollo de circulación colateral evitó la isquemia de las extremidades inferiores y limitó los síntomas a la lesión renal aguda. Se trata de una enfermedad aterosclerótica obstructiva crónica de la aorta, con progresión súbita de trombosis a nivel suprarrenal que lleva a la IRA y anuria. El tabaquismo activo es un factor de riesgo bien establecido para la enfermedad aterosclerótica.
Ante la sospecha clínica, la ecografía Doppler puede ser utilizada de manera rutinaria en la sala de emergencias y así sugerir el diagnóstico. La revascularización quirúrgica es el tratamiento de elección, y las opciones incluyen la embolectomía transfemoral, la aortotomía directa o el bypass. Este caso destaca la importancia de un diagnóstico inmediato que llevó a una recuperación renal exitosa.
Puntos de aprendizaje
* La oclusión aórtica aguda es una condición poco común pero potencialmente grave, con una alta morbilidad y mortalidad, que requiere reconocimiento e intervención temprana.
* La presentación clínica de la OAA puede variar desde isquemia de las extremidades, paraplejia, isquemia visceral, insuficiencia renal e hipertensión resistente.
* Dado que el dolor lumbar es una queja común, puede pasar desapercibido en nuestra vida cotidiana, pero debemos
prestar más atención a las causas de la IRA debido a complicaciones vasculares (arteriales y/o venosas) en pacientes de alto riesgo (pacientes con enfermedad vascular y fumadores) que presenten IRA y dolor lumbar sin una explicación aparente.
* La tomografía computarizada con contraste es fundamental en el diagnóstico de la OAA, y la revascularización quirúrgica, si es adecuada, es el tratamiento de elección.