Fale Comigo
Whatsapp
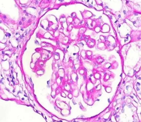
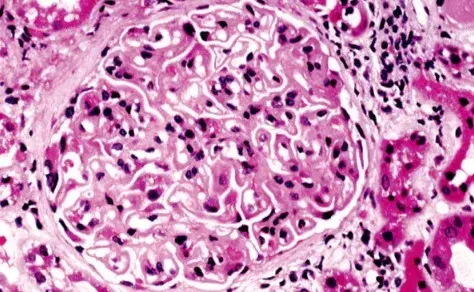
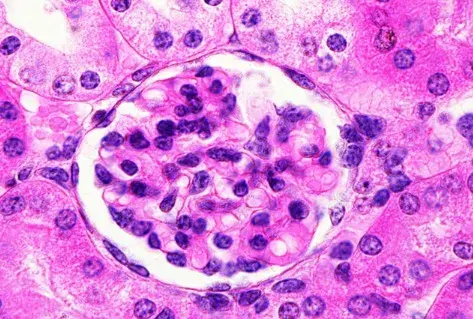
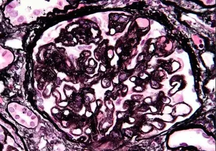
glomerulopatias
nefro dicas
videoaulas
artigos
dialise
ira
drc
doenca renal do diabetes
caso clinico
imagens
nefrite lupica
hipertensao
transplante renal
erc
diabetes doenca renal

      Cefalea, alteración visual y convulsión en un paciente con nefropatía por IgA

      Caso clínico publicado en el NEJM: Un hombre de 35 años con nefropatía por IgA acudió a urgencias con síntomas de confusión mental, visión borrosa y convulsiones durante 1 día. Dos semanas antes de la presentación, comenzó a tomar ciclosporina para el tratamiento de la nefropatía por IgA. Su presión arterial era de 160/80 mm Hg. En el examen físico, el paciente estaba somnoliento y presentaba disminución de la agudeza visual. El examen de fondo de ojo fue normal.

      Valkercyo Feitosa

      3 anos atrás

      Exibindo os posts de 21 a 40 do total de 116 (20 posts por página)

      Página 2 de 6